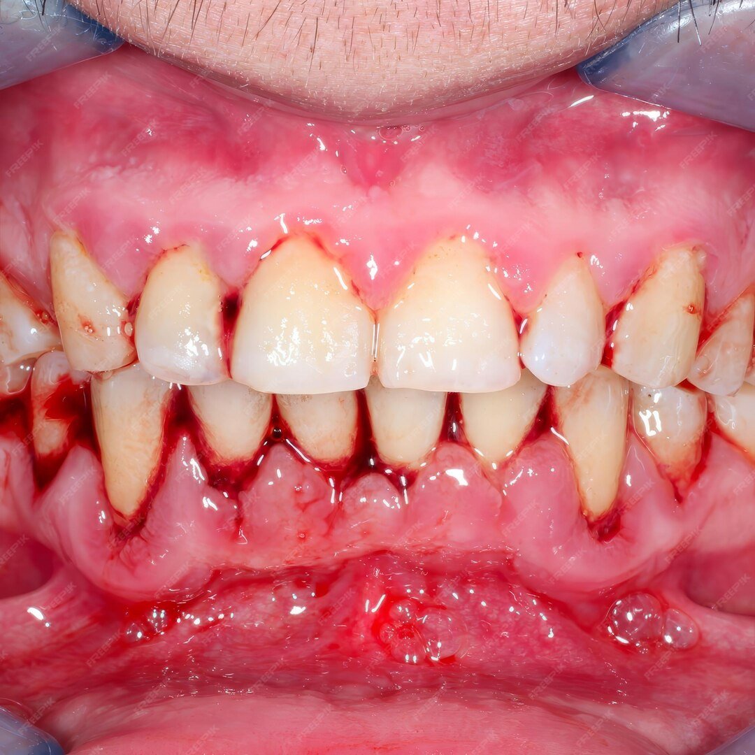
Gum Surgery
Gum surgery, also known as periodontal surgery, is a dental procedure that treats severe gum disease and restores the health of your gums and supporting bone. It is usually recommended when non-surgical treatments like scaling and root planing are not enough to stop infection.
Benefits of Gum Surgery:
- Stops the progression of gum disease
- Saves natural teeth and prevents tooth loss
- Improves gum health and strengthens tooth support
- Reduces bad breath and oral discomfort
- Enhances smile aesthetics by reshaping gums
Why Choose Laxmi Dental Clinic for Gum Surgery?
- Experienced periodontists and oral surgeons
- Use of advanced techniques and painless procedures
- Hygienic and safe environment with modern equipment
- Personalized post-surgery care and guidance
